No items were found matching your selection.
Search
Recent Posts

Damaged or missing teeth? Dental crowns are the perfect solution to restore both the strength and appearance of your smile! ✨ Ready to give your teeth the full coverage they deserve? Call us today to learn more! 📞 610.524.9530
#ChesterSpringsDental #DentalCrowns #RestorativeDentistry #HealthySmile #ToothRestoration #ExtonDentist #SmileCare #ToothProtection
2 days ago

Still putting off that treatment? This is your reminder—your 2025 dental benefits don’t roll over! 💸
Take care of your oral health now and start the new year with a healthy, confident smile. 😁
📅 Book your appointment today at ChesterSpringsDental.com.
#ChesterSpringsDental #ExtonDentist #DentalBenefits #UseItOrLoseIt #FamilyDentist #DentalCare #HealthyTeeth #PAFamilies #SmileConfidently
5 days ago


Breaking news: Dr. Gross has been abducted by aliens—guess they wanted the secret to his out-of-this-world smiles! 👽🦷✨
What are you dressing up as this Halloween? Tell us in the comments! 👻
Happy Halloween!
#ChesterSpringsDental #ExtonDentist #HalloweenFun #AlienAbduction #SpookySmiles #HappyHalloween
6 days ago

Have a fa-boo-lous Halloween full of fun and laughter! Happy Halloween from Chester Springs Dental! 🎃👻🦇
.
.
.
#Halloween #HappyHalloween #Autumn #Pumpkin #October #Spooky #Scary #HalloweenCostume #TrickOrTreat #SpookySeason
7 days ago

Trick or teeth? 🍬😂
Don’t let your smile turn into a fright this Halloween—keep cavities away with your Dental Hygiene Month checkup. 🎃
🦷 $149 adults/$99 kids (exam, cleaning, and X-rays included).
📅 Offer valid through October 2025 for new patients only.
Book now at ChesterSpringsDental.com.
#ChesterSpringsDental #HalloweenSmile #DentalHygieneMonth #HealthyTeeth #FamilyDentist #ExtonDentist #SpookySeason
1 week ago

Invisalign® is the clear choice for those seeking a comfortable, discreet, and effective alternative!
Our team at Chester Springs Dental is here to help you start transforming your smile right from your first fitting. With faster results, a better fit, and minimal impact on your appearance, Invisalign® is the smile solution you've been waiting for!
Are you ready to get started? 📞 Call us today: 610.524.9530!
#Invisalign #ChesterSpringsDental #SmileTransformation #ClearBraces #PerfectSmile #ExtonDentist #Aligners #HealthySmile #StraightenYourSmile
1 week ago

You’ve earned your dental benefits—make sure you actually use them! 😁
Whether you’re due for a cleaning or still putting off that filling, now’s the time to book before your 2025 coverage resets. ⏰
📅 Schedule your visit today at ChesterSpringsDental.com.
#ChesterSpringsDental #ExtonDentist #FamilyDentist #DentalBenefits #UseItOrLoseIt #DentalCare #HealthySmiles #DentalInsurance #PAFamilies #SmileBright
2 weeks ago

It’s Dental Hygiene Month—the perfect time to give your smile some extra care! 🪥✨
Don’t wait until your next cavity surprise… keep your smile bright and healthy all year long.
🦷 $149 adults/$99 kids (exam, cleaning, and X-rays included).
📅 Offer valid through October 2025 for new patients only.
Schedule your visit today at ChesterSpringsDental.com.
#ChesterSpringsDental #DentalHygieneMonth #HealthyTeeth #FamilyDentistry #ExtonPA #SmileMore #DentalDeals
2 weeks ago

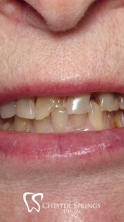
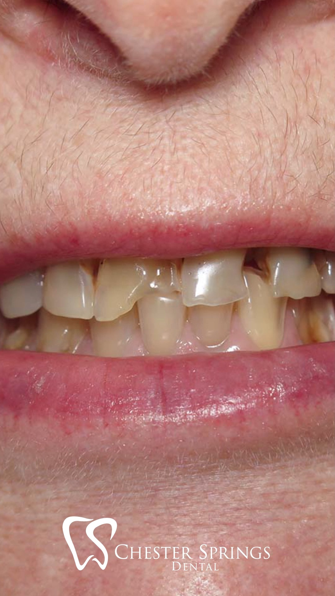
Just two porcelain veneers on the lower front teeth—and what a difference! 😍
Our patient wanted to bring those teeth forward, and the final result was nothing short of amazing. He absolutely loved his new smile, and we couldn’t be happier for him!
There’s nothing better than seeing our patients walk out feeling more confident. 🙌
Looking for your go-to dental team in Exton, PA? We’ve got you covered for everything from cosmetic upgrades to everyday care. 🦷✨
📞 Book your appointment today at 610-524-9530 or visit ChesterSpringsDental.com
#ChesterSpringsDental #DrGross #PorcelainVeneers #SmileMakeover #ExtonPADentist #BeforeAndAfter #CosmeticDentistry #Veneers #HappySmiles #ConfidenceBoost
2 weeks ago
















